Please ensure Javascript is enabled for purposes of website accessibility
Menu
MENU

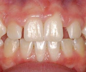
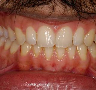
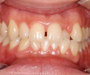
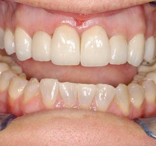
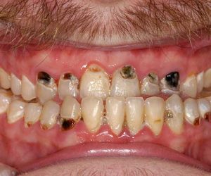
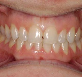
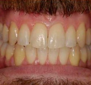
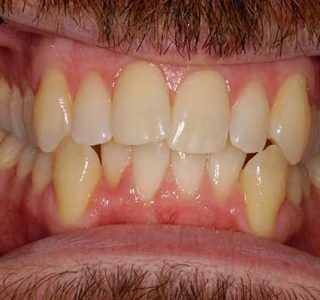
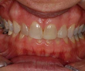
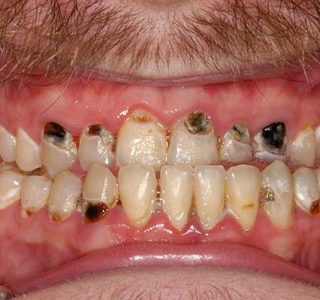
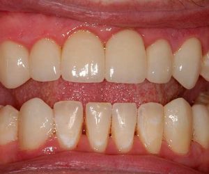
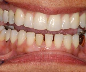
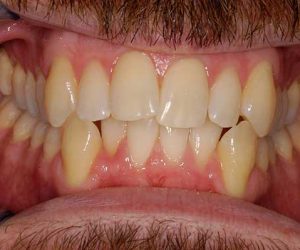
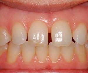
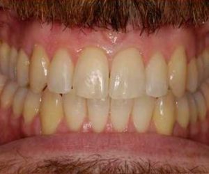
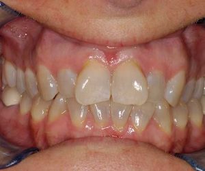
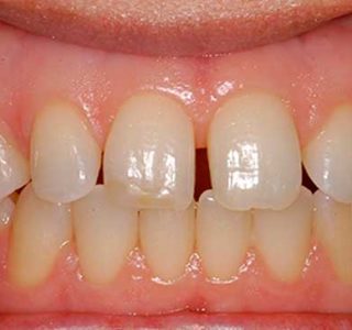
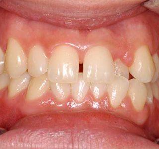
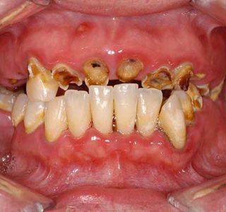
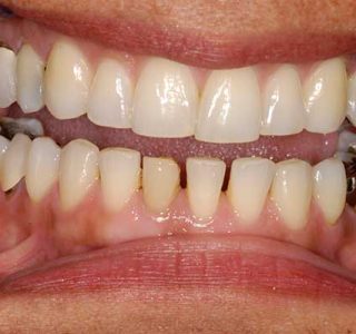
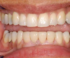
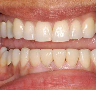
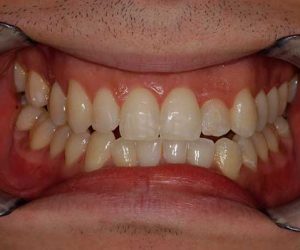
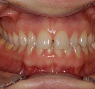
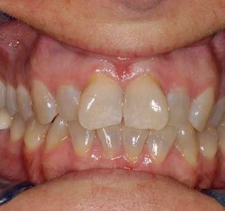
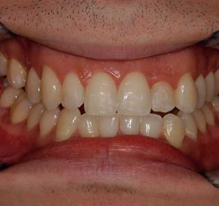
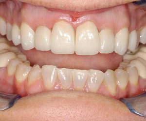
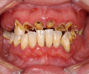
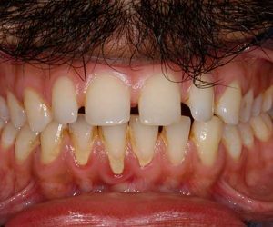
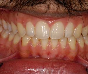
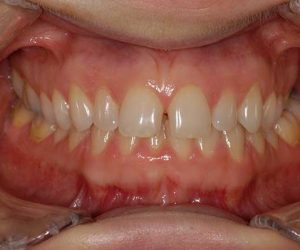
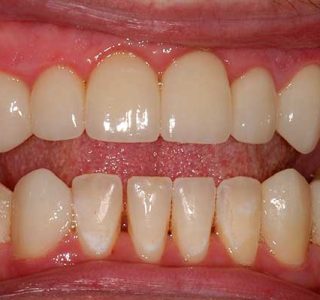
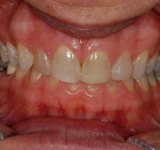
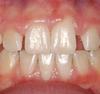
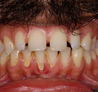
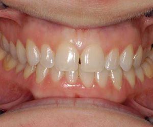
See What Great Dentistry Looks Like in Our Salem, OR Smile Gallery

Enhancing smiles with cosmetic dentistry. Rebuilding damaged teeth with restorative dentistry. Replacing missing teeth with dental implants. These are just a few of the transformations you’ll find in our Salem, OR smile gallery. Our highly trained dentist Dr. Hanson begin every smile makeover with an in-depth consultation in which they discuss your smile goals and treatment options. At Oregon Smile Care Center, we know that every smile is unique, and it’s our mission to make every smile beautiful. Just take a look at some of our before and after photos. You can become our next success story. Call us today at 503.809.4784 to request your appointment.
Results may vary from individual to individual.
 

Call Today to Make an Appointment

Latest from Our Blog See More